Tue, 21-Oct-2025

GHG main cause behind South China Sea sea level rise: study

south china sea

Chinese researchers have revealed in their study that the sea level of the South China Sea has risen by 1500mm since 1900. The study, carried out by researchers from the South China Sea Institute of Oceanology under the Chinese Academy of Sciences (CAS) and other institutions in the country, focused on Porites coral, a wide-spread … Read more

Chinese researchers develop highly efficient perovskite solar cells

chinese researchers

BEIJING – Chinese researchers have developed a type of perovskite solar cells (PSCs) with high power conversion efficiency. PSCs can be generally classified into two categories, n-i-p devices and inverted p-i-n devices. The p-i-n PSCs can be produced at low temperature with good stability, and are compatible with crystal silicon cell to achieve the development … Read more

Chinese scientists use telecom optical fiber to monitor aftershocks

telecom optical fiber

BEIJING, Jan. 5 (Xinhua) — Chinese scientists have developed a new way to monitor aftershocks by using telecom optical fiber with less deployment time and cost, the China Science Daily reported Wednesday. A research team from the Innovation Academy for Precision Measurement Science and Technology, affiliated with the Chinese Academy of Sciences, used distributed optical … Read more

Chinese institutes generate high-resolution snow cover dataset

Chinese

BEIJING, Dec. 28 (Xinhua) — Chinese researchers have generated a 38-year high-resolution snow cover dataset spanning from 1981 to 2019. Snow cover is closely connected with climate. On the one hand, owing to snow’s unique high albedo, it can greatly affect surface radiation and thereby climate systems. On the other hand, changes in climate in … Read more

China’s FAST telescope detects over 500 new pulsars

China's FAST telescope

GUIYANG, Dec. 15 (Xinhua) — Using the Five-hundred-meter Aperture Spherical Radio Telescope (FAST), also dubbed as the “China Sky Eye,” scientists have identified over 500 new pulsars since October 2017. Pulsars, or fast-spinning neutron stars, originate from the imploded cores of massive dying stars through supernova explosions. With their high density and fast rotation, they … Read more

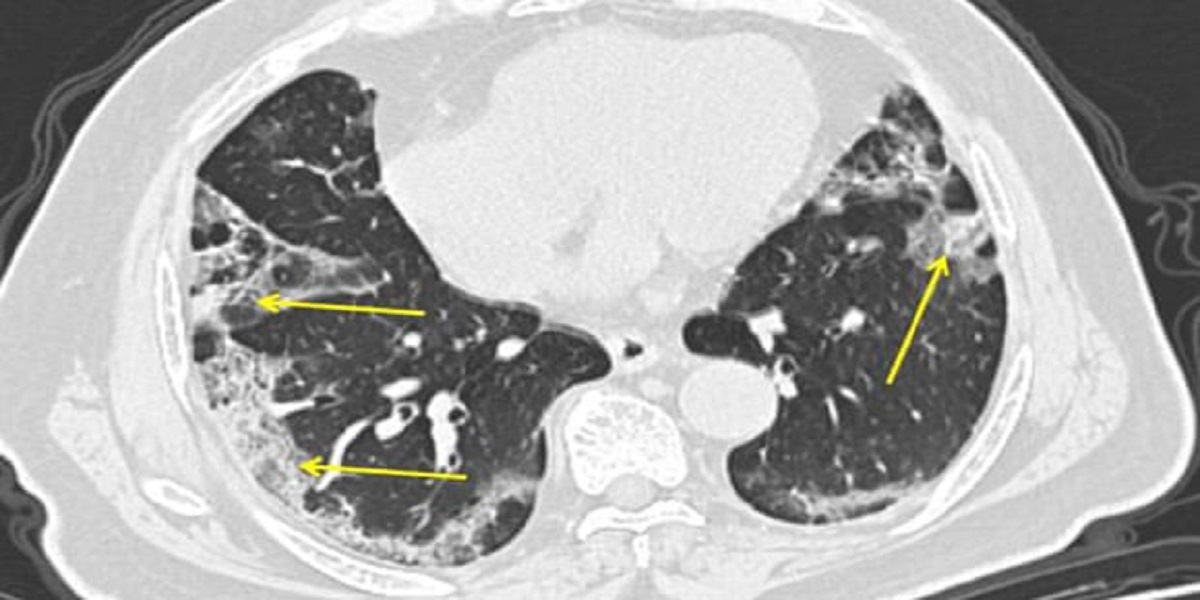
COVID-19 infections accelerate lung aging: study

COVID-19 infections accelerate lung aging: study

BEIJING, Dec. 14 (Xinhua) — Chinese scientists have revealed that COVID-19 infections significantly accelerate the aging of lung tissue, especially in the elderly. A report by the Science and Technology Daily showed that the main cause of death of COVID-19 patients was respiratory failure caused by severe lung injury. To determine which parts of the … Read more

Chinese, British scientists map out development of interneurons in humans

Chinese British scientists

BEIJING, Dec. 10 (Xinhua) — Chinese and British scientists mapped out how humans’ interneurons, a pivotal type of neuron that enables advanced human activities, develop in infancy, providing clues for the treatment of mental and developmental issues. The study, published on Friday in the journal Science, reported two populations of precursor human interneurons with features … Read more

New drug found to kill senescent cells in mice, extend lifespan

New drug found to kill senescent cells in mice, extend lifespan

BEIJING, Dec. 7 (Xinhua) — Chinese researchers have found that an extract from grape seed could selectively kill and clear senescent cells in mice and extend their lifespan. The polyphenolic extract, namely procyanidin C1, is expected to delay, alleviate or prevent age-related pathologies as a clinical intervention, said the study published Monday in the journal … Read more

China’s manned moon landing possible before 2030: scientist

China's manned moon landing possible before 2030: scientist

BEIJING, Dec. 5 (Xinhua) — It is “entirely possible” for China to perform a crewed lunar landing before 2030, said a senior Chinese scientist in deep-space exploration. “I personally think that as long as the technological research for manned moon landing continues, and as long as the country is determined (to achieve the goal), it … Read more