Tue, 21-Oct-2025

Russian doctors discover needle in woman’s brain in Sakhalin

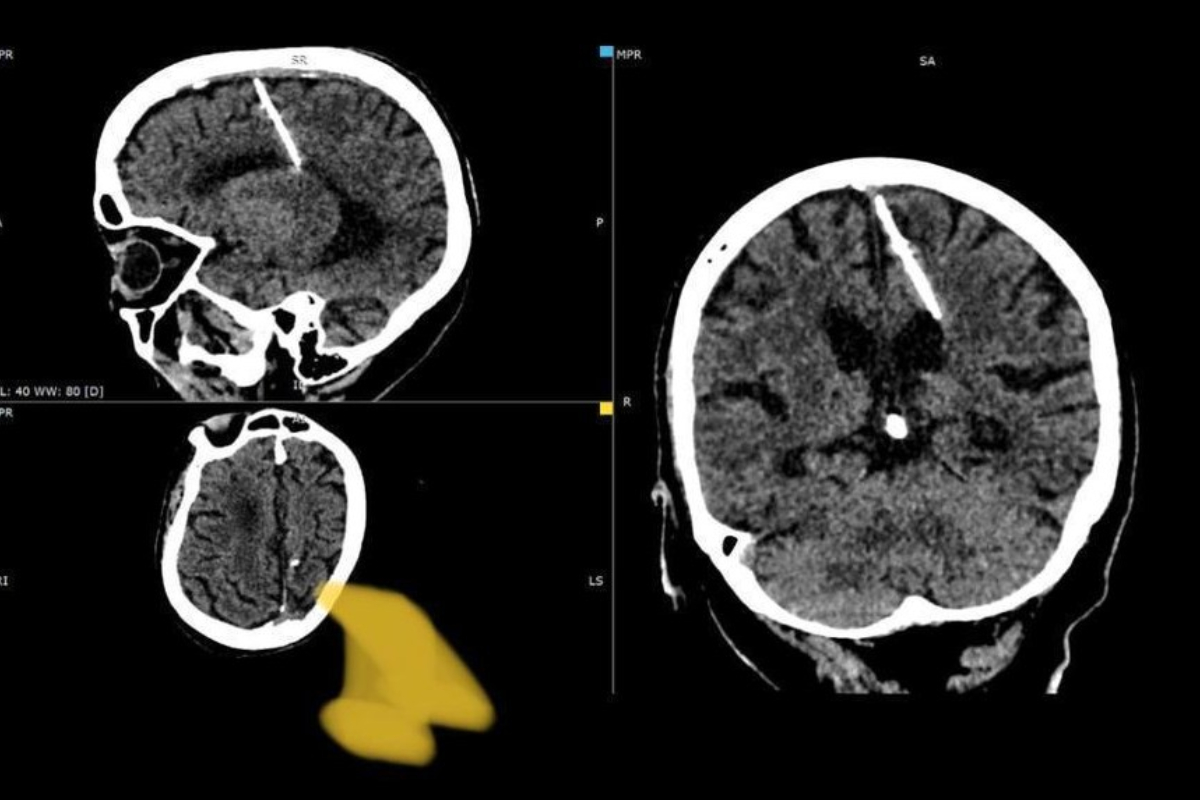
Russian doctors needle in woman's brain

Russian doctors discovered a needle in a woman’s brain in Sakhalin. This unexpected discovery came to light during a CT scan. Such cases were not uncommon during periods of famine. A startling revelation emerged as Russian doctors discovered a one-inch-long needle inside the brain of an 80-year-old woman residing in Russia’s Far East. This unexpected … Read more

8 cm python roundworm extracted from woman’s brain

8 cm python roundworm woman's brain

A woman from south-eastern New South Wales has left the medical community astonished after undergoing surgery at Canberra Hospital, during which an 8cm-long live python was extracted from her brain. Dr. Hari Priya Bandi, the neurosurgeon in charge of the operation, was amazed by the unexpected discovery. The patient, a 64-year-old, had been experiencing a … Read more