Tue, 21-Oct-2025

Alzheimer’s can now be detected with just one MRI scan

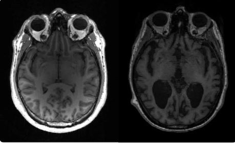
Alzheimer’s disease is the most common kind of dementia. It is diagnosed through a series of tests and scans. A single MRI scan can now detect the condition in 98 percent of cases. Doctors can diagnose Alzheimer’s disease with just one Magnetic Resonance Imaging (MRI) scan, according to research conducted by a team at Imperial … Read more

Jason Momoa has an MRI scan after suffering a head injury

Jason momoa

Jason Momoa, a Hollywood actor, suffered a head injury while filming high-octane action sequences for the forthcoming Fast and Furious film. Fans were concerned after the Aquaman star uploaded a photo of himself undergoing an MRI scan on social media. On Sunday, Momoa, 42, shared a photograph of himself lying outside the cylindrical scanner for … Read more